Contact Us

400-999-0365

Pathological-grade Antibodies
Contact Us

Tel:400-999-0365

QQ: 109813158

Code:201103

Email:info@asiagene.com.cn

Add:Room510,5F,Young Square,No1780,Wuzhong Road,Minhang District,Shanghai China

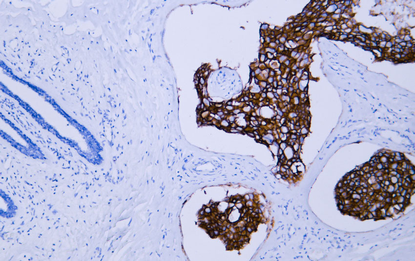
HER2 (ABT338) Mouse mAb

-YM6804

Main Information
Target

HER2

Host Species

Mouse

Reactivity

Human

Applications

IHC, ELISA

MW

137kD (Calculated) 180kD (Observed)

Conjugate/Modification

Unmodified

Detailed Information

Toggle night Mode

{{pinfoXq.title || ''}}

Catalog: {{pinfoXq.catalog || ''}}
Filter:

All

{{item.name}}

{{pvTitle}}

滚轮缩放图片
{{pvDescr}}